La oncología en veterinaria puede parecer compleja, pero en realidad todo empieza con un principio sencillo: no hacer nada sin un diagnóstico. Muchas veces, en la práctica diaria, nos encontramos con bultos o masas en nuestros pacientes y la tentación de intervenir de inmediato es grande. Sin embargo, avanzar sin un diagnóstico puede llevar a errores, tratamientos innecesarios o pérdida de oportunidades para un manejo adecuado del paciente.
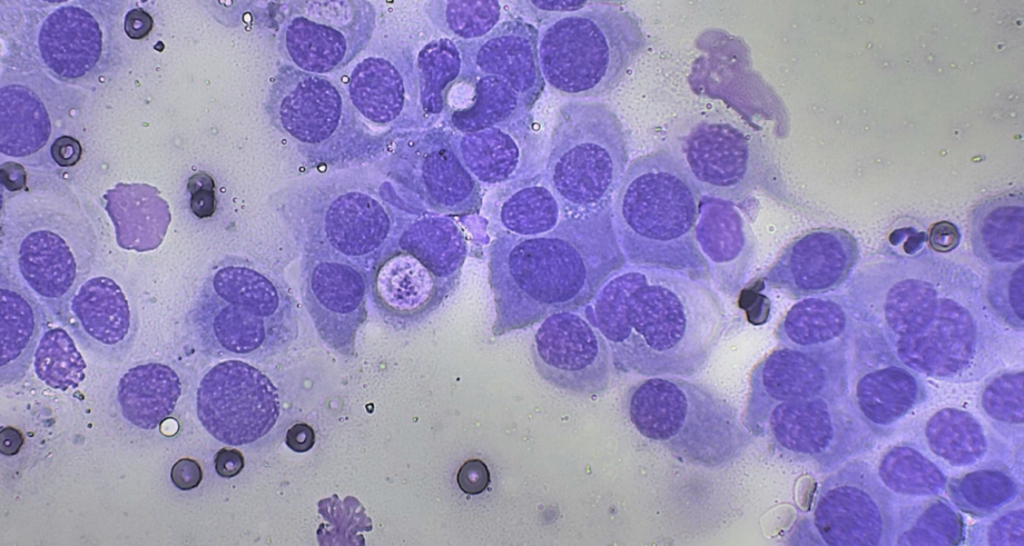
La citología: tu herramienta inicial y más poderosa
Aquí es donde la citología se convierte en aliada. Es una prueba sencilla, rápida y de bajo coste, que en la mayoría de los casos no requiere sedación. Tomar una muestra citológica de un bulto o masa puede proporcionarte información diagnóstica hasta en un 80–90% de los casos.
Incorporar la citología en tu clínica diaria tiene múltiples ventajas:
- Permite confirmar o descartar malignidad antes de planear cualquier intervención.
- Ayuda a diseñar un plan de manejo personalizado según el tipo de tumor.
- Es una habilidad que, con formación adecuada, cualquier veterinario generalista puede aprender a realizar e interpretar.
Orden y planificación: pasos clave en oncología
El secreto de una buena práctica en oncología no está solo en las herramientas, sino en el orden de actuación:
- Evaluación clínica del paciente y de la masa.
- Citología inicial para obtener información diagnóstica.
- Interpretación de resultados y planificación de los siguientes pasos según la sospecha citológica.
- Decisiones informadas sobre cirugía, derivación o seguimiento.
Adoptar este enfoque no solo mejora la seguridad y eficacia de tus intervenciones, sino que también te da confianza y control en la toma de decisiones.
Conclusión
Ser ordenado en oncología no es opcional: es la base de un manejo responsable y eficaz. Empezar por la citología te permite tomar decisiones seguras, ahorrar costes y ofrecer el mejor cuidado a tus pacientes.
