Saltar al contenido
Citopet

Citopet

Servicios de oncología veterinaria Madrid

  • Inicio
  • Mentoría Oncológica
  • Servicios
    • Electroquimioterapia
    • Consulta de oncología
  • Equipo
  • Área Veterinarios
  • Blog
  • Contacto
Citopet

Citopet

Servicios de oncología veterinaria Madrid

  • Inicio
  • Mentoría Oncológica
  • Servicios
    • Electroquimioterapia
    • Consulta de oncología
  • Equipo
  • Área Veterinarios
  • Blog
  • Contacto
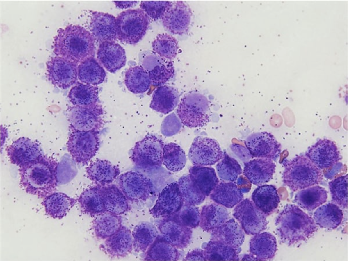
Mastocitoma canino: un tumor cutáneo que no puedes pasar por alto
19 de enero de 202619 de enero de 2026

Mastocitoma canino: un tumor cutáneo que no puedes pasar por alto

El mastocitoma cutáneo es uno de los tumores más frecuentes que vamos a encontrarnos en consulta de pequeños animales, especialmente en perros. Aunque su presentación clínica puede ser muy variada, […]

  • Aviso legal y política de cookies
  • Contacto
  • Aviso legal y política de cookies
  • Contacto
Facebook-f Instagram Whatsapp
ARP certificate

📧 info@citopet.com

© All Rights Reserved 2025